首页
新闻
财经
基金
股票
金融
理财
新闻
财经
基金
股票
金融
理财
这些少数族裔创始人如何让科技高管把钱放在嘴边
人工智能将是世界上有史以来最伟大的就业引擎
零工经济如何帮助促进多样性
你如何保护你的公司免受黑客攻击
为什么谷歌搜索自己不再只是为了好玩
为什么潮流正在转向能源部门
苹果WWDC主题演讲中的所有重要内容
云数据存储: 每个质量保证测试人员都应该知道的问题和威胁
使用此折扣VPN保护您的个人和业务数据
4人工智能趋势值得关注2019年
微软的巴厘岛项目试图让你控制你的数据
秒杀网红款,火爆朋友圈的匈牙利鹅绒被到底好在哪里!
物联网如何改变航运业
如何掌握链接构建2019年。如果这样做,将会带来巨大的好处。
回顾: 改变游戏规则的技术创新2018年
EBay是现代最有影响力的公司
这位连续的企业家厌倦了文书工作,他建立了一个聊天机器人来帮助其他人进行管理工作
区块链技术在东南亚的作用越来越大
让我们数字化: 如何实现转型,更好地为客户服务
2019的学习景观
SpaceX的 “starhopper” 测试车进行了一次由猛禽驱动的短途旅行
用这个49美元的电子学位捆绑包学习掌握JavaScript
谣言: 苹果AirPods 2,AirPower,新ipad 3月29日到货
苹果推出了具有黑暗模式的更快,更私密的iOS 13
Salesforce的创新生产力解决方案如何帮助团队更快地完成更多工作
如何掌握社交媒体营销2019年
错误的更新砖耐克 “自动系带” 智能鞋
Google赢得了FCC的批准,以继续开发基于雷达的手传感器
苹果推出新的iPod Touch
埃隆·马斯克的洛杉矶隧道将特斯拉变成了 “铁路引导火车”
市场能否提供小企业所需的综合金融科技工具?
如何破解亚洲竞争激烈的电子科技行业
Google Home和Amazon Echo可以存储您的语音记录。这是它们可以用来对付你的时候。
从星际飞船船长到电动自行车推销员: 与威廉·沙特纳的对话
聊天机器人是客户服务未来的五个原因
人工智能如何帮助您更好地管理时间
在加密货币时代,银行必须转型才能蓬勃发展的5种方式
机器学习如何创造一个更精英、更少偏见的就业市场
测试成功用户体验的一个指标
韩国已经在进行区块链爆炸
Jamf现在帮助小型企业无缝管理移动设备
使用此VPN浏览更智能,更安全
使用此VPN使您的浏览数据保持私有
您需要了解的10种用户体验设计趋势2019年
将AI整合到招聘中如何使面临劳动力危机的公司受益
如果你没有管理策略,你的数据就没用了
即使是 “非人类” AI也可以帮助您与客户建立更有意义的关系的3种方式
物联网的危险 (信息图)
人工智能主导的营销如何以更智能的方式吸引当今的受众
SpaceX正在佛罗里达州建造另一艘星际飞船
您的位置:
首页
>
新闻
>
中国人身保险市场前景?银保监会:全球潜力最大
原标题:中国人身保险市场前景?银保监会:全球潜力最大新华网北京12月16日电(闫雨昕)近日,国务院常务会...
2020-12-16
昔日折桂今何在,公募“冠军魔咒”将被打破?
距离2020年结束还有11个交易日,公募基金的冠军争夺战也逐渐白热化。截至12月15日,农银汇理工业4 0灵活配...
2020-12-16
欧盟委员会主席:欧英谈判取得进展 未来几天将是关键
原标题:欧盟委员会主席:欧英谈判取得进展 未来几天将是关键欧盟委员会主席冯德莱恩当地时间16日表示,目...
2020-12-16
被“压抑”的苏州楼市,新房二手房齐跌
本文来自微信公众号“地产一条”上海炒房客套现转场,苏州楼市仍有一波利空。2020年长三角楼市大爆发,连一...
2020-12-16
德勤:预计2021年科创板约有150-180只新股 融资额2500-3000亿元
原标题:德勤:预计2021年科创板约有150-180只新股 融资额2500-3000亿元来源:中国网财经中国网财经12月16日讯(记者 胡
2020-12-16
中芯国际 再经不起内讧
原标题:中芯国际,再经不起内讧作者:古泉君没想到2020 年底,我们又要见证一出闹剧。12 月 15 日晚,...
2020-12-16
欧元2018年来首次升破1.22美元 经济复苏乐观人气升温
欧元连续第三天上涨并创出了2018年来首次升破1 22美元的佳绩,优于预期的经济数据推动地区经济复苏势头增强...
2020-12-16
张近东被误读了
来 源:正和岛商业洞察作为一位低调、务实、敢为人先的民营企业家,张近东在企业家和媒体圈中一直都很受尊...
2020-12-16
2020年12月17日涨停板早知道:七大利好有望发酵
炒股就看金麒麟分析师研报,权威,专业,及时,全面,助您挖掘潜力主题机会!12月16日消息,有七大利好可能...
2020-12-16
两连板三峡新材:实控人仍处限制自由状态,公司前三季度亏损近6亿
原标题:两连板三峡新材:实控人仍处限制自由状态,公司前三季度亏损近6亿 2020年11月20日,三峡新材收到公...
2020-12-16
2020全球Quant年终奖:Market Making拔头筹!
作者:QIML编辑部来源:量化投资与机器学习(ID:Lhtz_Jqxx)如果你是高频交易量化分析师 研究员,今年的年...
2020-12-16
A股第二只千元股诞生 疯狂的石头科技股价仅次于茅台
图片来源:视觉中国记者 | 陈祺欣12月16日盘中,石头科技(688169 SH)股价突破1000元,成为A股市场上第...
2020-12-16
【升级之作】穿越震荡市,新锐绩优战将王翔携新品跨年布局2021!
横空出世的年度热词——“凡尔赛文学”其实在基金圈也适用尤其是当与一位绩优基金经理相遇免不了要秀一番“...
2020-12-16
中国期货业协会召开京津冀地区期货公司居间人管理调研座谈会
原标题:中国期货业协会召开京津冀地区期货公司居间人管理调研座谈会来源:中国期货业协会发布时间:2020年1...
2020-12-16
“清仓”抛售后,俄罗斯突然增持近209亿美债!不坚持去美元了?
由于历史遗留原因,俄罗斯一直走在“去美元”的前锋行列。自2018年来,该国更是开启了“清仓式”抛售美债,...
2020-12-16
巴西甘蔗产业联盟UNICA:巴西21/22榨季糖产量将下降
热点栏目自选股数据中心行情中心资金流向模拟交易客户端原标题:UNICA:巴西21 22榨季糖产量将下降来源:沐...
2020-12-16
东方红资产管理总经理任莉:行业应携手引导投资者坚持长期价值投资
来源:东方红资管来源 | 《当代金融家》杂志2020年第11期,原题为《行业应携手引导投资者坚持长期价值投...
2020-12-16
百合股份:每粒产品出厂都需经过14道检验工序
原标题:百合股份:每粒产品出厂都需经过14道检验工序来源:中国网财经中国网财经12月16日讯 随着公众对健康...
2020-12-16
妙可蓝多连续大涨, 三机构合计卖出2.34亿元
原标题:妙可蓝多连续大涨, 三机构合计卖出2 34亿元 2月14日至16日,三个机构席位合计卖出2 34亿元,一...
2020-12-16
浦银债市观察 | 市场流动性改善 债市延续区间震荡行情
来源:浦银安盛基金2020 12 7-12 11 债市焦点1 中国11月出口同比21 1%,创20个月新高,进口
2020-12-16
励志青年同逐梦 2020中国平安励志计划总决赛圆满落幕
原标题:励志青年同逐梦 2020中国平安励志计划总决赛圆满落幕12月16日,由中国平安、中国青少年发展基金会...
2020-12-16
从首家入华到被反超 嘉士伯中国市场进化论
原标题:从首家入华到被反超 嘉士伯中国市场进化论尽管进入啤酒淡季,但啤酒圈却异常“热闹”,嘉士伯与重...
2020-12-16
鸿坤伟业地产:控股股东变更为鸿坤集团管理咨询公司
原标题:鸿坤伟业地产:控股股东变更为鸿坤集团管理咨询公司来源:中国网地产中国网地产讯 12月16日,据...
2020-12-16
国产鸡腿外包装检出阳性!
据@美好滁州 消息,12月15日14时45分,安徽省滁州市来安县疫情防控指挥部接市疫情防控应急指挥部转协查函称...
2020-12-16
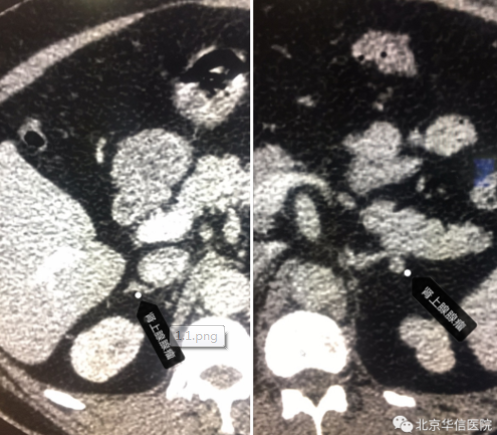
满月脸 水牛背 揪出高血压背后隐藏的“秘密”
12月14日消息,北京市卫生健康委官网公布健康知识《满月脸 水牛背 揪出高血压背后隐藏的“秘密”》。近日...
2020-12-16
38438条
上一页
1
..
695
696
697
698
699
700
701
702
703
..
1538
下一页
最新文章
从星际飞船船长到电动自行车推销员: 与威廉·沙特纳的对话
韩国已经在进行区块链爆炸
如果你没有管理策略,你的数据就没用了
调查显示,这些公司将产生下一波企业家浪潮
尽管科技股下跌,Netflix仍在上涨
您是否已尽一切努力为这个销售旺季准备在线公司?
企业家可以通过三种方式使用AI来促进业务发展
2019将为芯片制造行业准备什么?
数字双胞胎的量子飞跃
精彩推荐
苹果WWDC主题演讲中的所有重要内容
微软的巴厘岛项目试图让你控制你的数据
区块链技术在东南亚的作用越来越大
如何掌握社交媒体营销2019年
如何破解亚洲竞争激烈的电子科技行业
机器学习如何创造一个更精英、更少偏见的就业市场
图文观赏
秒杀网红款,火爆朋友圈的匈牙利鹅绒被到底好在哪里!
错误的更新砖耐克 “自动系带” 智能鞋
Google Home和Amazon Echo可以存储您的语音记录。这是它们可以用来对付你的时候。
测试成功用户体验的一个指标
将AI整合到招聘中如何使面临劳动力危机的公司受益
为什么聊天机器人很好,不,他们不会夺走你的工作
绿色云计算: 每个质量保证都应该知道的技术
人工智能如何改变中小企业的商务旅行
这个机器人真空吸尘器在你工作的时候打扫你的房子
热门推荐
零工经济如何帮助促进多样性
为什么潮流正在转向能源部门
4人工智能趋势值得关注2019年
这位连续的企业家厌倦了文书工作,他建立了一个聊天机器人来帮助其他人进行管理工作
Salesforce的创新生产力解决方案如何帮助团队更快地完成更多工作
市场能否提供小企业所需的综合金融科技工具?
友情链接:
百度地图
融道中国
自助投稿
山西商业网
大军事网
中国白银理财网
科技金融网
贵州热线
万隆金银理财网
百度地图
大事中国
中国啤酒网
巴中房产网
深圳都市网
南方站长网
版权所有:融道网